岐阜市中鶉の歯医者「はなみずき通り歯科」
虫歯治療・歯周病治療・予防歯科・こども歯科
歯並び・審美歯科・ホワイトニング

診療時間
9:00~13:00
診察
診察
診察
休診
診察
診察▲
休診
15:00~19:00
診察
診察
診察
休診
診察
診察▲
休診

▲ 土曜日:9:00~12:00 /13:30~16:30

そのほかGW、お盆、年末年始等の特別休診日につきましては、別途ホームページよりご案内させていただきます。

Aiming to be a dental clinic that can also heal the mind.

心も治せる歯科医院を目指して

ただ虫歯を削るのではなく、「歯の健康に対する想い」を対話を通じて汲み取るよう心がけています。
そして、安心して治療できるよう、5つのコンセプトに基づく治療内容となっています。

「はなみずき通り歯科」では、最新の治療技術と最適な環境を提供し、最高の医療を目指していきます。

はなみずき通り歯科
5つのコンセプト&
診療内容

歯の治療そして予防へ

新しい歯科医院を選ぶのは難しく、どんな治療をするのか不安な気持ちになるかと思います。

ここでは、はじめて「はなみずき通り歯科」を受診される方に向けて、
おおまかな治療の流れを説明させていただきます。そして、治療が終わった方、検診やメンテナンス希望の方は、
はなみずき通り歯科オススメの予防歯科を見てください。

  • はじめての方(大人)

    はなみずき通り歯科での、
    基本的な治療の流れを
    ご紹介いたします。

  • はじめての方(子供)

    なるべく怖い思いをせず、簡単なことから歯科に慣れていけるような、その子にあった方針を考えます。

  • 予防歯科
    メンテナンス・検診を希望の方

    痛くなる前からのケアを大切にし、患者さま一人ひとりに合わせた予防プランをご提案しています。

Dental Care from Age 0

0歳からの歯科治療

歯磨き、上手にできてますか?

お子様のことを思い、必死で歯磨きをしようとしても、
嫌がって、なかなか上手にさせてくれないのではないでしょうか。
虫歯はもちろん、歯並びを良くしていく上でも、知っておいてほしい事があります。
歯磨きの仕方、予防はもちろん、歯科の観点からの「食育」の実践まで、
お子様の健やかな成長の手助けをいたします。

詳しくはこちら

User-friendly dental clinic

患者様一人一人にとって便利に。

幅広い患者様方に、
便利でいいねって思って頂けるように
使いやすい歯科医院を目指しております。

  • すべて完全個室の治療室
    ふかふかの診療チェアー

  • お気に入りが
    見つかるかも!
    デンタルグッズコーナー

  • パパママも一緒に!
    2つの
    ファミリールーム

  • 痛みの少ない
    電動麻酔

  • 入り口から院内まで
    バリアフリーで安心

  • プライバシーが
    守られた
    個室の
    カウンセリングルーム

  • 停めやすい
    10台分の駐車スペース

Clinic & Facilities

Clinic Equipment

患者さまの快適さと治療の正確性を考えた設備の導入をしております。

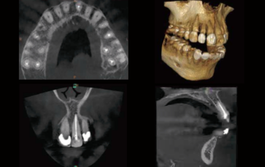
正確・的確な診療を行うための低線量歯科用CT、高度な感染対策を考えた滅菌機器から、3D口腔内スキャナーでの歯の型取りやマウスピース矯正、各チェアーに配置した口腔内カメラによる治療前後の比較など、患者様の負担の軽減と、治療の正確性を考えたを環境をご提供いたします。

詳しくはこちら

Doctor Message

Akihiro Yoshida
Director/D.D.S.

身体全体から健康を考慮できる、地域に根付いた歯科医院を目指して。

院長・歯科医師 吉田 明弘

院長の吉田明弘です。
「心も治せる歯科医師に!」これは高校時代の恩師から頂いた言葉です。
この言葉を胸に今日まで歯科医療と向き合ってきました。
歯から始まる体と心の健康を、私の生まれ育ったこの地域の皆様に提供していきたいと思います!

スタッフ紹介を見る

Recluit Information

歯科医療を通じて人生を変えるお手伝い

はなみずき通り歯科では、共に働くスタッフの方たちがやりがいを持ち、
あふれる笑顔で自身の力を発揮できる医院づくりを目指しています。
一人ひとりの個性を大切にし「学びたい気持ち」を精一杯サポートします。
あなたもぜひ、医院と一緒に成長していきましょう。

現在の募集職種
  • 現在募集無し

詳しくはこちら